Des prestations médicales complètes pour une prise en charge rapide et coordonnée.
CMG
Nos prestations
Le Centre Médical de la Glâne (CMG) dispose d’une infrastructure moderne permettant la réalisation sur place des principaux examens et actes médicaux. Notre objectif est d’offrir aux patients une prise en charge complète, du diagnostic au traitement, dans un environnement de proximité et de confiance.
Imagerie médicale
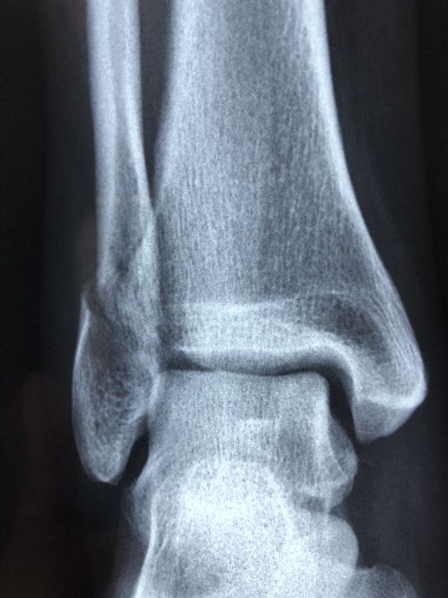
Le centre est équipé d’une radiologie standard, permettant le diagnostic rapide des traumatismes et des pathologies ostéo-articulaires. Les échographies diagnostiques sont assurées sur rendez-vous par le Dr Yannick Lebreton, du Centre Radiologique de la Glâne, garantissant un accès direct à l’imagerie de haute qualité.
Analyses de laboratoire
Grâce à notre partenariat avec LabPoint, dont le laboratoire est situé dans un local contigu, nous réalisons sur place :
Traumatologie et orthopédie
Le CMG collabore avec Buchs Orthopédie, présent au sein de nos locaux, pour la prise en charge des troubles de l’appareil locomoteur : douleurs articulaires, entorses, troubles posturaux ou de la marche. Cette collaboration permet un suivi orthopédique spécialisé, incluant les évaluations fonctionnelles et les solutions d’appareillage adaptées.
Médecine de prévention
Nos médecins assurent également les bilans de santé, les vaccinations et le suivi préventif selon l’âge et les besoins de chaque patient, en coordination avec nos partenaires spécialisés.
Le Centre Médical de la Glâne se veut un pôle de soins intégré, combinant expertise, accessibilité et collaboration interdisciplinaire, pour garantir des soins rapides, sûrs et personnalisés au cœur de la Glâne.
Imagerie médicale
Le centre est équipé d’une radiologie standard, permettant le diagnostic rapide des traumatismes et des pathologies ostéo-articulaires. Les échographies diagnostiques sont assurées sur rendez-vous par le Dr Yannick Lebreton, du Centre Radiologique de la Glâne, garantissant un accès direct à l’imagerie de haute qualité.
Analyses de laboratoire
Grâce à notre partenariat avec LabPoint, dont le laboratoire est situé dans un local contigu, nous réalisons sur place :
- des analyses urgentes (infarctus, insuffisance cardiaque, embolie pulmonaire, etc.),
- des examens de routine (hémogrammes, ionogrammes, bilans métaboliques ou infectieux),
- le suivi biologique des patients chroniques (diabète, pathologies cardiovasculaires, insuffisance rénale, etc.).
Traumatologie et orthopédie
Le CMG collabore avec Buchs Orthopédie, présent au sein de nos locaux, pour la prise en charge des troubles de l’appareil locomoteur : douleurs articulaires, entorses, troubles posturaux ou de la marche. Cette collaboration permet un suivi orthopédique spécialisé, incluant les évaluations fonctionnelles et les solutions d’appareillage adaptées.
Médecine de prévention
Nos médecins assurent également les bilans de santé, les vaccinations et le suivi préventif selon l’âge et les besoins de chaque patient, en coordination avec nos partenaires spécialisés.
Le Centre Médical de la Glâne se veut un pôle de soins intégré, combinant expertise, accessibilité et collaboration interdisciplinaire, pour garantir des soins rapides, sûrs et personnalisés au cœur de la Glâne.


Centre Médical de la glÂne
Radiologie
Our team will work with you to identify your individual risk factors and develop a plan to keep you healthy and active.
Centre radiologique de la glÂne
Echographie : Dr Yannick Lebreton
We offer comprehensive general check-ups for patients of all ages, including physical exams, blood pressure checks, and screening for common health conditions


Labpoint
Laboratoire d'analyses médicales
Grâce à notre partenariat avec LabPoint, dont le laboratoire est situé dans un local contigu, nous réalisons sur place :
- des analyses urgentes (infarctus, insuffisance cardiaque, embolie pulmonaire, etc.),
- des examens de routine (hémogrammes, ionogrammes, bilans métaboliques ou infectieux),
- des bilans de santé.
- le suivi biologique des patients chroniques (diabète, pathologies cardiovasculaires, insuffisance rénale, etc.).
Buchs orthopédie
Orthopédiste : M. Fabio Ciaramella
We offer comprehensive general check-ups for patients of all ages, including physical exams, blood pressure checks, and screening for common health conditions

Besoin d’un avis médical ou d’un suivi ?
Découvrez notre équipe de médecins et prenez rendez-vous en ligne en toute simplicité.
Découvrez notre équipe de médecins et prenez rendez-vous en ligne en toute simplicité.